• º´¿ø¼Ò°³
    º´¿ø¼Ò°³
    • Á¤¼ö¿ì¼Ò°³
    • ÀÇ·áÁø¼Ò°³
  • ´«¼ºÇü
    ´«¼ºÇü
    • Á¤(ïñ) ´«¼ºÇü
    • ½Ö²¨Ç® ¼ö¼ú
    • ´«¸Å ±³Á¤
    • Æ®ÀÓ ¼ö¼ú
    • Á߳⠴«¼ºÇü
  • ÄÚ¼ºÇü
    ÄÚ¼ºÇü
    • ¼ö(â³) ÄÚ¼ºÇü
    • À¯Çüº° ÄÚ¼ºÇü
    • Äຼ Ãà¼Ò
  • Àç¼ö¼ú
    Àç¼ö¼ú
    • ¿ì(éÎ) Àç¼ö¼ú
    • ´« Àç¼ö¼ú
    • ÄÚ Àç¼ö¼ú
  • Ä¿¹Â´ÏƼ
    Ä¿¹Â´ÏƼ
    • ÀüÈÄ»çÁø
    • ¼ºÇüÈıâ
    • ÇÁ·Î¸ð¼Ç
  • »ó´ã¡¤¹®ÀÇ
    »ó´ã¡¤¹®ÀÇ
    • ¿Â¶óÀλó´ã
  • login
  • join us
  • about
  • º´¿ø¼Ò°³
    Á¤¼ö¿ì ¼Ò°³ ÀÇ·áÁø ¼Ò°³
  • ´«¼ºÇü
    Á¤(ïñ) ´«¼ºÇü ½Ö²¨Ç® ¼ö¼ú ´«¸Å ±³Á¤ Æ®ÀÓ ¼ö¼ú Á߳⠴«¼ºÇü
  • ÄÚ¼ºÇü
    ¼ö(â³) ÄÚ¼ºÇü À¯Çüº° ÄÚ¼ºÇü Äຼ Ãà¼Ò
  • Àç¼ö¼ú
    ¿ì(éÎ) Àç¼ö¼ú ´« Àç¼ö¼ú ÄÚ Àç¼ö¼ú
  • Ä¿¹Â´ÏƼ
    ÀüÈÄ»çÁø ¼ºÇüÈıâ ÇÁ·Î¸ð¼Ç
  • »ó´ã¡¤¹®ÀÇ
    Áø·á¿¹¾à
  • login
  • join us

  • ÀüÈÄ»çÁø
  • ¼ºÇüÈıâ
  • ÇÁ·Î¸ð¼Ç

*·Î±×ÀÎÀ» ÇϽøé ÀÚ¼¼È÷ º¸½Ç ¼ö ÀÖ½À´Ï´Ù

ÁöÀÎ ¼Ò°³·Î ´«½ç¹Ø°Å»ó ´«¹ØÁö¹æÀç¹èÄ¡ Çß¾î¿ä~
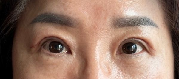
Á¹·Á º¸ÀÌ´ø ´«, Àý°³ ´«¸Å±³Á¤ 1°³¿ùÂ÷ Èıâ
´« À§ ¾Æ·¡ ÇÔ²² ±³Á¤Çϰí ÀÌ»µÁ³¾î¿ä!
»ó¾È°Ë ÈıâÀÔ´Ï´Ù!
»ó¾È°Ë ´«¸Å±³Á¤ 1°³¿ùÂ÷ ÈıâÀÔ´Ï´Ù
½Ö²¨Ç® Å×ÀÌÇÁ ´ë½Å ´ëÇÐ ÀÔÇÐ Àü Àý°³ ½Ö¼öÇß¾î¿ä!
È®½ÇÈ÷ ´«¸Å ¶Ç·ÇÇØÁ³³×¿ä
¦´« ±³Á¤Çϸ鼭 ÀÚ¿¬½º·¯¿î ½Ö²¨Ç® ¿Ï¼ºÇß¾î¿ä!
¿©ÀÚÄ£±¸ ¼Ò°³·Î ¹ÞÀº ´«¸Å±³Á¤+´«¹Ø¼ö¼ú, È®½ÇÈ÷ ´Þ..
  1   2   3   4   5   6   7   8   9   10     

ÁÖ¼Ò : ¼­¿ïƯº°½Ã °­³²±¸ °­³²´ë·Î 378, 6Ãþ(¿ª»ïµ¿, Áغôµù) | ´ëÇ¥¹øÈ£ : 02-555-9196 | E-mail : jswpsclinic@naver.com | »ç¾÷ÀÚµî·Ï¹øÈ£ : 337-30-01209
COPYRIGHT ¨Ï 2021 jswpsclinic ALL RIGHTS RESERVED

Á¤¼ö¿ì ¼ºÇü¿Ü°ú ÀÇ¿ø

¼­¿ïƯº°½Ã °­³²±¸ °­³²´ë·Î 378, 6Ãþ(¿ª»ïµ¿, Áغôµù)

´ëÇ¥¹øÈ£ : 02-555-9196

E-mail : jswpsclinic@naver.com

»ç¾÷ÀÚµî·Ï¹øÈ£ : 337-30-01209

COPYRIGHT ¨Ï 2021 jswpsclinic ALL RIGHTS RESERVED

ºü¸¥»ó´ã
À̸§   
ÀüÈ­¹øÈ£ - -   
¹®ÀÇÇϱâ
Address

¼­¿ïƯº°½Ã °­³²±¸ °­³²´ë·Î 378
Áغôµù 6Ãþ (°­³²¿ª 3¹øÃⱸ ¾Õ)

Phone

+82 10 9378 2013

Email

from.yami@gmail.com

Social
All Rights Reserved by design yami.